髄膜腫(メニンジオーマ, meningioma)
- 髄膜腫は脳の表面にある「くも膜細胞」から発生するとされ、脳腫瘍の中では発生頻度が高い腫瘍です。
- 中高年の女性に多く発生し、大部分はWHO分類Grade 1の良性腫瘍です。しかし頻度は低いもののGrade 2や3の悪性髄膜腫も存在します。また多くは遺伝的背景のない孤発性のものですが、一部には神経線維腫症2型に代表される遺伝性疾患に伴うものもあります。
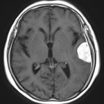
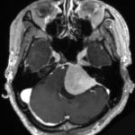
- 頭蓋内のさまざまな場所に発生し、脳を包む硬膜に接着しています(図1)。
- 腫瘍が小さいうちは無症状ですが、緩徐に増大することでまわりの脳や神経を圧排し頭痛・けいれん発作・視力障害・聴力障害・手足の麻痺、その他発生部位により様々な症状を引き起こします。頭部MRIにより容易に診断され、比較的均一に造影される腫瘍が描出されます。脳との境界は明瞭です。血流の豊富な腫瘍であることが多く、血管造影検査を行うこともあります。
図1 さまざまな部位に発生した髄膜腫のMRI画像所見
脳の表面近くに発生した髄膜腫
脳深部に発生した髄膜腫
頭蓋底髄膜腫
- 髄膜腫の治療法は、手術による摘出が基本です。
- 腫瘍が小さく症状がない場合は経過観察することもあります。
- 症状が出ている場合、または今後症状が出てくる可能性が高いと予測される場合には治療を考慮します。開頭術(場合によっては経鼻内視鏡手術)により腫瘍を摘出することで脳・神経圧迫による症状を改善させます。
- 小型のものでは定位放射線治療が可能な場合もありますが、第一に考慮する方法ではありません。手術と同時に病理組織診断を行い、良性・悪性を見極めることもその後の治療方針を決めるために重要となります。図1に示したような脳の表面近くに発生したものは比較的摘出が容易ですが、それでも大型になると脳実質や脳血管との癒着がみられるため、摘出の際には注意を要します。
- また頭蓋底部に発生したものは、腫瘍へ到達するために頭蓋底外科手技が必要となることがあります。腫瘍が取りきれれば完治が期待できますが、脳深部や頭蓋底に発生した腫瘍の場合は、重要な血管や神経を巻き込んでいて取りきることが難しいこともあります。
- その場合、意図的に腫瘍の一部を残し、術後慎重に経過観察したり、再発抑制のために定位放射線治療を行うこともあります。
- 腫瘍の発生部位, 大きさ, 患者さんの状態などから手術に伴うリスクを予測し、脳機能温存を優先した手術を行います。












